Osteosarcoma
This article is incomplete because it lacks depth or is unfinished. Help by expanding it.
Summary
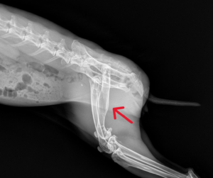
Osteosarcoma, or bone cancer, has been reported in domesticated rabbits. It is an uncommon cancer, diagnosed by x-ray imaging. Osteosarcoma is malignant and capable of metastasizing to other organs. The condition is characterized by hyperplasia and bone lysis. Affected bones will look perforated and misshapen on an x-ray due to the breaking down and overexpression of skeletal tissue.
From Osteoblastic Osteosarcoma in a Rabbit, [1]
According to review of 10 published cases, productive osteoblasic osteosarcoma is the most common bone tumor in rabbits, with half of all cases developing in the skull or facial bones.
From Intraocular extraskeletal osteosarcoma in a rabbit (Oryctolagus cuniculus), [2]
This neoplasm can occur in various bones or joints, such as the glenohumeral joint, intertarsal joint, sacrococcygeal joint, and rib.
Symptoms
Outward symptoms vary depending on the location of the tumor(s). Afflicted joints and limbs will display impair mobility. Metastasis in the lungs also commonly results in fatal respiratory failure. The rabbit may also develop persistent GI stasis due to pain from the bone tumors themselves.
Treatment
Since bone cancer metastasizes so readily, treatment options are bleak. When present only in the extremities, amputation or partial bone removal has been reported successfully [3] [4].
Medication can also be used to manage the condition to prolong life during hospice:
From a visit summary with Evolution Veterinary Specialists in Lakewood, Colorado:
In addition to oral [pain] medications, an aminobisphosphonate medication (zoledronate) can be administered. This is a type of medication used to inhibit bone-destroying cells or bone resorption. This medication can reduce pain and increase quality of life for patients with osteosarcoma. These are given intravenously once every 4 weeks. These medications are typically well tolerated but potential side effects include nausea and possibly kidney damage.

